| 제목 | 어린이와 성인의 구치부(어금니) 반대교합 치아교정 | ||||
|---|---|---|---|---|---|
| 조회수 | 155 | 등록일 | 2026-02-06 | ||
| 내용 |
안녕하세요. 서울 강서구 마곡역에 위치한 아름다운바른이치과교정과치과 치과교정과 전문의 홍영민 대표원장입니다. 앞니가 거꾸로 물리는 것은 쉽게 발견되지만 어금니가 반대로 물리는 것은 스스로 인지하지 못하는 경우가 많고 치과에서 구강검진을 통해 발견되는 경우가 많습니다.
앞니와 마찬가지로 어금니도 위아래가 거꾸로 물리기도 하는데, 이를 진단할 때는 상,악 대구치(큰 어금니)의 위치를 기준으로 합니다. 좌우 양측성으로 어금니가 반대로 물리는 경우는 상,악 대구치가 양측에서 정상 위치보다 설측(혹은 구개측) 즉, 안쪽에 위치함을 의미하고, 반면에 좌우 어느 한쪽이 거꾸로 물린다면 하악 어금니가 어느 한쪽에서 협측(바깥쪽)으로 존재함을 의미합니다. 양측성 반대교합의 원인이 상악의 악,궁 자체가 좁아서 나타나는 골격성인지, 또는 골격의 폭경은 정상이나 치열궁 폭경이 좁아서 나타나는 문제인지 알아야 합니다. 상,악 치열이 위치하는 기저골(뼈)의 폭경은 치아모형에서 악궁의 폭경을 관찰하여 알 수 있으며 CT를 촬영하여 보다 정밀하게 계측할 수 있습니다. 구개의 기저가 넓지만 치조돌기(잇몸뼈)가 안으로 기울었다면 반대교합은 치아에 의한 것(치성)이며 치조골(잇몸뼈)의 변형에 의해 야기된 것입니다. 만약 구개가 좁고 상,악 치아가 밖으로 기울었음에도 불구하고 반.대.교.합이 있다면 문제는 근본적으로 좁은 상악골 폭경에 기인한 골격성인 것입니다. 공간의 전후 및 수직면에서의 골격 변형에 대해 치열의 변화로 인해 보상작용이 일어나는 것과 마찬가지로 치아는 수평적인 골격 문제도 인해 보상이 일어날 수 있는 데 기저골 폭경이 좁으면 협측(바깥)으로, 넓으면 설측(안쪽)으로의 치아 경사 즉, 치아가 쓰러지는 현상이 일어납니다.
진단에 있어 좁은 상악궁은 발치-비발치 결정과 연관되어 있기 때문에 제일 처음 다루는 것이 적절합니다. 치열이 불규칙하고 상악궁의 횡적 부족을 보이는 어린이는 치아를 배열하기 위해 충분히 넓히는 것이 필요합니다. 입천장 정중앙 부위는 뼈가 서로 얽혀 있는 데 10세 이전의 아동에서는 어떤 확장장치로도 구치를 이동시킬 뿐 아니라 정중구개봉합도 분리시킬 수 있습니다. 청소년기에서는 견고한 확장장치에서 나오는 비교적 큰 힘이 있어야만 서로 결합되어 있는 봉합을 미세파절시키면서 분리시킬 수 있습니다. 학동기 이전 어린이에서는 약한 힘과 느린 확,장을 추천하며 청소년기를 지나 나이가 증가함에 따라 골이 봉합을 통해 서로 연결되어 있어 골확장이 어려워질 가능성이 높아지는 데 이러한 경우에는 상.악 구개측에 마이크로 임플란트 즉, 교정용 나사(미니스크류)를 식립하여 상악골에 직접적으로 힘을 적용하여 골성 변화를 일으키게 됩니다. 골성 확,장이 이루어지면 그 이후에는 골이 다 차도록 확장장치를 그 자리에 3~4개월 유지해야 합니다.
치열궁이 좁거나 협착된 환자에서는 미소도 역시 좁게 보일 것이며 심미적으로 덜 매력적입니다. 미소 시에 보이는 협측회랑(buccal corridor)의 크기 즉, 상악 구치(특히 소구치)와 안쪽 볼과의 거리가 크면 좁은 미소를 보여 심미적이지 않다고 여기게 됩니다. 볼 안쪽 공간이 치열궁보다 두드러지게 넓을 때, (미소 시 치열이 적게 보임) 상.악.궁을 넓히는 것이 미소를 개선할 수 있습니다. 반대로 너무 넓은 상.악.궁 또한 비심미적이므로 미소 시 볼과 어금니의 관계는 악궁의 폭경을 평가하는 또 다른 방법입니다. 자연치열의 과도한 확.장은 동일하게 자연스럽지 않은 치아의 모습을 유발할 것이므로 모든 사람에게 횡적인 확.장이 적절한 것은 아닙니다. 이러한 점들을 고려하여 악궁을 넓혀야 하는지 결정하게 되며 어금니가 반대로 물리고 있다면 상악의 악.궁을 넓히게 됩니다.
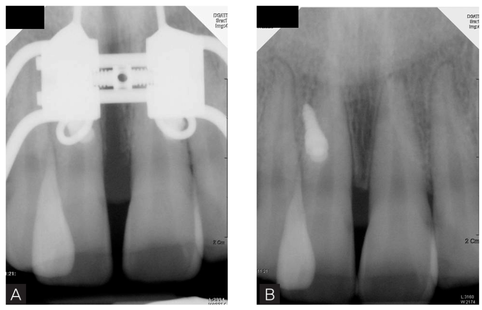
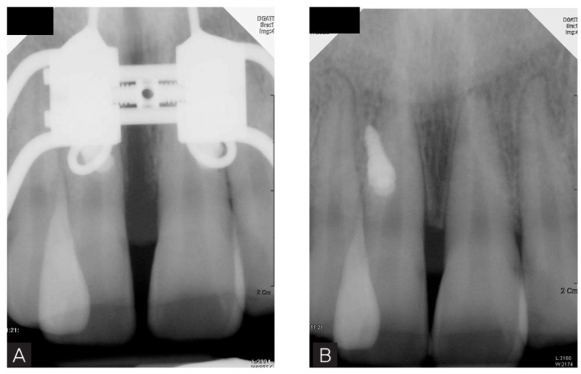
1. 최대확장량 및 속도 상하악 어금니가 어긋나지 않을 정도까지 가능한 최대한으로 넓혀주는 것이 좋습니다. 추후 경사진 어금니를 바로 세우기 위해 여유 있게 확.장합니다. 급속확장과 완속확장 방법이 있으며 나이가 어린 경우와 미니스크류를 이용한 경우에는 느리게 넓혀주는 것을 추천합니다. 특히 미니스크류를 식립하여 정중구개봉합 (입천장 정중앙에 뼈가 결합된 부위)을 분리하기 위해 하루에 1회 돌리는 것을 추천하며 2회 이상 확.장을 시도하는 경우, 뼈 부위의 압력 증가로 환자가 통증을 호소할 수 있습니다. 혼합치열기 어린이에서는 주로 가철식 장치로 확.장하는데 5일 혹은 일주일에 1회 돌리는 완속방법을 시행하며 청소년에서는 미니스크류를 식립하지 않은 경우에는 하루에 1회 혹은 2회, 미니스크류를 식립한 경우에는 하루에 1회 돌리는 방법을 사용하고 있습니다. 골성 확장이 일어나면 앞니가 벌어지는 현상이 나타나며 치근단 방사선 사진에서 봉합의 이개(뼈가 분리되어 벌어짐)가 관찰됩니다. 2. miniscrew 식립 개수 2개인 경우와 4개인 경우, 응력분포에 차이를 보이며 성인에서는 골질의 견고성을 감안하여 4개의 치아와 4개의 골내고정원(미니스크류)을 포함하는 것이 응력의 분산에 도움이 됩니다. 골이 덜 단단한 청소년에서는 2개만 식립하기도 합니다. 3. 악궁 확장 시 발생할 수 있는 현상과 유지 기간 상악궁을 넓히는 동안 상악의 어금니가 전보다 협측(밖)으로 이동하므로 구치부 교합에서 일시적인 개방교합이 대부분 발생하게 되고, 이는 구치의 협설측 경사도의 개선으로 곧 소실됩니다. 오히려 부적절한 횡적 교합관계 (상하악 구치부 폭경이 맞지 않음)를 방치하면 상악의 어금니가 하악의 어금니를 적절하게 덮지 못하게 되고 이는 확장이 없으면 개선하기 어렵게 됩니다. 또한 가운데 봉합부위가 벌어지면 앞니도 벌어지게 되는 데 일반적으로 3개월 정도의 유지기간을 거치면 분리된 부분에 새로운 뼈가 형성이 되고, 이를 확인한 후 장치를 제거하게 됩니다.
악궁을 넓힌 후 환자의 반응을 보면, 주로 숨쉬기가 편해졌다는 호흡과 관련한 점이 많고 두통이나 교,합 개선에 대한 부분, 그리고 성장과 관련한 긍정적인 것들입니다. 따라서, 악,궁 확,장은 단순히 측방 부조화를 개선하기 위한 교정적 효과뿐만 아니라, 미니스크류를 동반한 MARPE(Miniscrew-Assisted Rapid Palate Expanstion) 사용의 또 다른 잠재력이 될 수 있으며 MARPE를 사용하여 치료를 성공적으로 마무리한 결과를 살펴보면 좋은 마무리를 위해, 치료를 유리하게 끌고 나가기 위해, 수술 교정을 좀 더 정확하고 용이하게 하기 위해, 측방 공간의 확보를 위해, 기타 성장 및 호흡과 관련된 잠재력을 얻기 위해 MARPE 장치가 좀 더 적극적으로 사용된다면 치료를 더욱 완성도 있게 마무리할 수 있을 것으로 생각합니다. |
||||







